Odontología Restauradora

Restauraciones Dentales en Caracas

Devuelve la función y estética a tus dientes. Tratamos caries y reconstruimos dientes dañados con materiales de alta calidad del color exacto de tu sonrisa. La Dra. Johanny Hernández en La Campiña, Caracas.

Restauración dental estética en Caracas
Tratamiento de caries Caracas

Tipos de Restauraciones Dentales

Soluciones personalizadas según el nivel de daño y la ubicación del diente

Composite Directo

Resina del color exacto de tu diente aplicada directamente en el consultorio. Ideal para caries pequeñas y medianas, fracturas y mejoras estéticas menores.

Incrustaciones (Inlays/Onlays)

Restauraciones indirectas de cerámica o composite fabricadas en laboratorio para caries grandes donde el composite directo no es suficiente.

Coronas Dentales

Cuando el diente está muy destruido, una corona cubre toda su superficie restaurando completamente su forma, función y estética.

Reconstrucción de Diente Roto

Reconstrucción de dientes fracturados por trauma o mordidas fuertes, devolviendo su forma original con materiales estéticos y resistentes.

Carillas de Composite

Láminas delgadas de composite aplicadas sobre la cara del diente para mejorar color, forma o posición con mínimo desgaste dental.

Restauraciones Preventivas

Sellantes de fisuras y restauraciones preventivas para tratar lesiones incipientes antes de que se conviertan en caries establecidas.

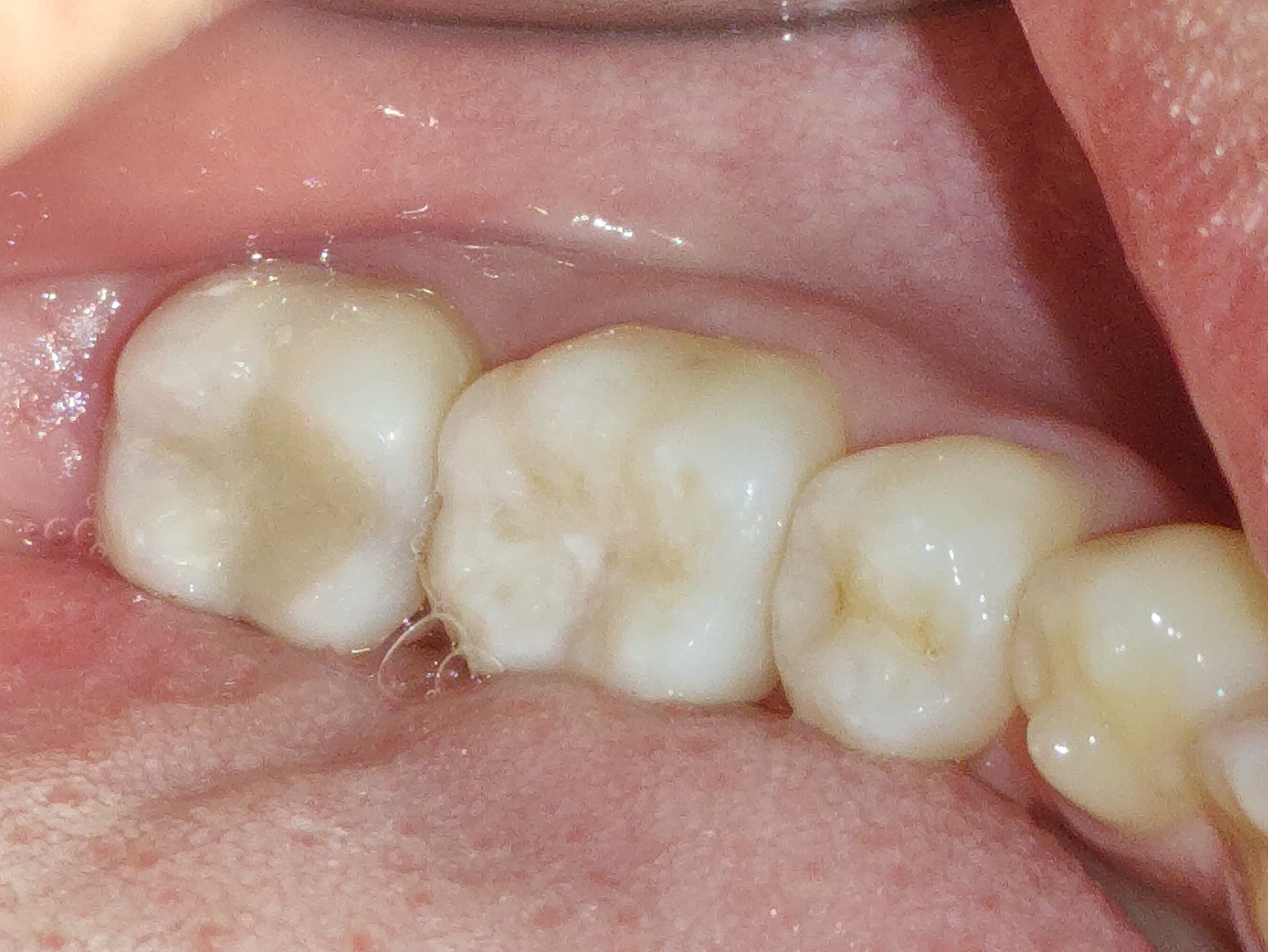
Resultados de Restauraciones Dentales en Caracas

Resultados reales de nuestros pacientes en La Campiña

Restauración dental estética Caracas
Composite dental estético Caracas
Tratamiento caries La Campiña Caracas
Reconstrucción dental Caracas

¿Cuándo Necesitas una Restauración Dental?

Mancha oscura en el diente

Una mancha café o negra puede indicar caries activa que necesita tratamiento inmediato antes de crecer.

Sensibilidad al frío o dulce

Dolor agudo y pasajero al tomar bebidas frías o alimentos dulces suele indicar exposición dentinaria por caries.

Diente roto o astillado

Fracturas que exponen dentina o pulpa necesitan restauración urgente para evitar infección.

Empaste antiguo deteriorado

Las restauraciones antiguas de amalgama o composite desgastadas deben reemplazarse antes de que fallen.

Caries detectada en radiografía

Muchas caries no duelen hasta estar avanzadas. Las radiografías periódicas permiten tratarlas a tiempo.

Dolor al morder

Dolor al masticar puede indicar caries profunda, fractura dental o restauración dañada que necesita atención.

Preguntas Frecuentes sobre Restauraciones en Caracas

¿Cuánto dura una restauración de composite?

Entre 5 y 10 años con buena higiene oral. Evitar hábitos como morderse las uñas o abrir cosas con los dientes y hacer revisiones periódicas prolongan su vida útil.

¿Se nota la restauración dental?

No. El composite estético se adapta exactamente al color de tus dientes. Cuando está bien realizado es prácticamente indistinguible del diente natural.

¿Duele tratar una caries?

No. Se realiza con anestesia local y es completamente indoloro. Puede haber leve sensibilidad las primeras 24-48 horas, manejable con analgésicos comunes.

¿Es mejor composite o amalgama?

El composite (resina) es la alternativa moderna y estética a la amalgama. Requiere menos desgaste del diente, tiene mejor aspecto y hoy en día es igual o más resistente que la amalgama.

¿Necesitas una Restauración Dental en Caracas?

No esperes a que la caries crezca. Agenda tu cita con la Dra. Johanny Hernández en La Campiña y recupera la salud y estética de tu sonrisa.

La Campiña, Torre 18, Piso 5, Oficina F · Caracas, Venezuela

Agendar Cita